Call us on
- 01563 223113 (Kilmarnock)
- 01294 593110 (Ardrossan)
- info@ayrshireorthodontics.com
Risks and Benefits
Kilmarnock
KA1 3HU
01563 549 712
Ardrossan
KA22 8DF
01294 463 194
Benefits and Risks of Orthodontic Treatment
Orthodontic treatment involves wearing braces (removable and fixed). It may involve the extraction of teeth and, very occasionally, jaw surgery.
What might I gain from Orthodontic treatment?
The benefits can include the following:
- Correction of dental crowding and straightening of your teeth
- Correction of your bite so that the front and back teeth meet together evenly on closing
- Reducing the likelihood of damage to prominent teeth
- Improving your appearance, including your smile
What are the risks?
All patients should finish their orthodontic treatment with healthy teeth and gums. Unfortunately, some patients do experience problems during orthodontic treatment. Your Orthodontist will talk to you about the common risk of treatment and about those that might particularly affect you.
Most problems are preventable if you take care of your teeth and gums
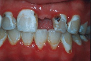
Permanent scars on teeth (Decalcification)

Make sure this does not happen to you!Your teeth will be damaged unless you keep them clean and are sensible about what you eat and drink. It is important to brush your teeth well, at least twice a day, with fluoride toothpaste. If you don’t keep your teeth and brace clean, you risk ending up with permanent white or brown scars on your teeth. The picture below shows this. Rinsing with fluoride mouthwash at bedtime, after tooth brushing, will also help to keep your teeth healthy.
PLEASE TURN OVERLEAF
Tooth movement after treatment (Relapse)
You will be asked to wear retainers after treatment. Retainers are designed to keep your teeth straight. It is important that you wear them as instructed. How long you will need to wear retainers depends on how your teeth originally looked. You should expect to wear your retainers on a part-time basis for as long as it’s important for you to have straight teeth.
Damage to roots of teeth (Root resorption)
All brace work causes minor changes to the roots of teeth. This is not usually a problem. Occasionally, changes to the roots can be more serious. It is often possible to teeth if someone is at risk, but not always. If you have a particular risk, your Orthodontist will talk to you about this.
Unsuccessful treatment
Your orthodontic treatment should be successful if you are committed to your treatment. You will need to look after your teeth and brace well, follow your Orthodontist’s instructions and attend regularly (usually every 6-8 weeks) to have your brace adjusted.
During your treatment remember to visit your own dentist regularly, to check that your teeth and gums are health.
Pain
Your teeth are likely to be sore for about 3-5 days after the brace is fitted and each time it is adjusted. If necessary, painkillers such as the ones you would normally take for a headache may help.
Please follow the instructions on the packet. If your brace rubs your lips or cheeks, you can be given a product to help with this. It is sensible to contact your Orthodontist if your teeth are very painful.
Gum damage/disease (Gingivitis/Periodontitis)
Some patients experience a little redness and swelling of the gums whilst wearing a brace. This problem usually disappears once the brace is removed. However, if you do not brush your teeth and brace properly, your gums may become very swollen during treatment, causing lasting damage.
Previous tooth injury/knocks
Please tell your Orthodontist if you have previously knocked or damaged a front tooth. If this has happened to you, then there is a risk that your tooth may need further treatment while you are wearing a brace. One sign of this is that the tooth may become dark. If any treatment is needed, your regular dentist will usually carry this out.
Additional risks
There are some rare risks, which only affect some people such as adverse jaw growth. If there is a particular risk involved in your treatment, your Orthodontist will talk to you about this.
